Implants to be Placed Here as Shown

Implants Process - Step 1

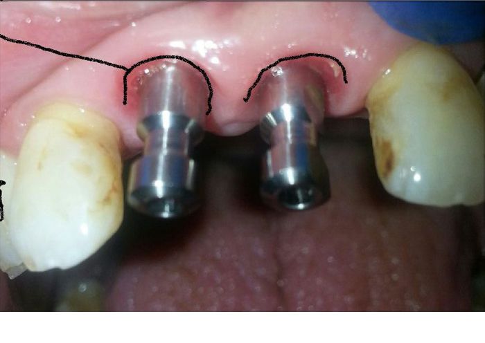
These transfer pegs are used to indicate location of implants to the lab.

Crowns Need To Emerge Through Tissue

Implants Process - Step 2

Crowns need to emerge through the tissue

Abutments Made By The Lab

Implants Process

Final Crowns (Porcelain fused to metal) in place

Final Crowns in Place

Implants Process

Final Crowns in Place.