Emax All Ceramic Crowns from Cosmetic Dentist Name Dr. Muyal

A Fructured Front Tooth Incisor

1. Emax All Ceramic Crown Before

A fructured front tooth (incisor).

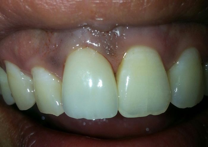
Emax All Ceramic Crown in Place

2. Emax All Ceramic Crown After

Emax All Ceramic Crown in Place. These crowns have a great ability to match shade and color!

5. EMA Crowns

Beatiful results with ceramic crowns!

6. EMA crowns

A young middle aged South Asian lady with a heavily discolored front tooth, was amazed by the life-like color of her new crown.